Expediente Clínico Electrónico


Evolución

Registra los datos de cada paciente y mide su evolución consulta a consulta, OdotnaliX te permite configurar los datos a evaluar en cada una de las consultas y pacientes.

Odontograma Interactivo

OdontaliX cuenta con la herramienta interactiva de Odontograma, en la cual podrás agregar tratamientos por cada cara de las piezas dentales.

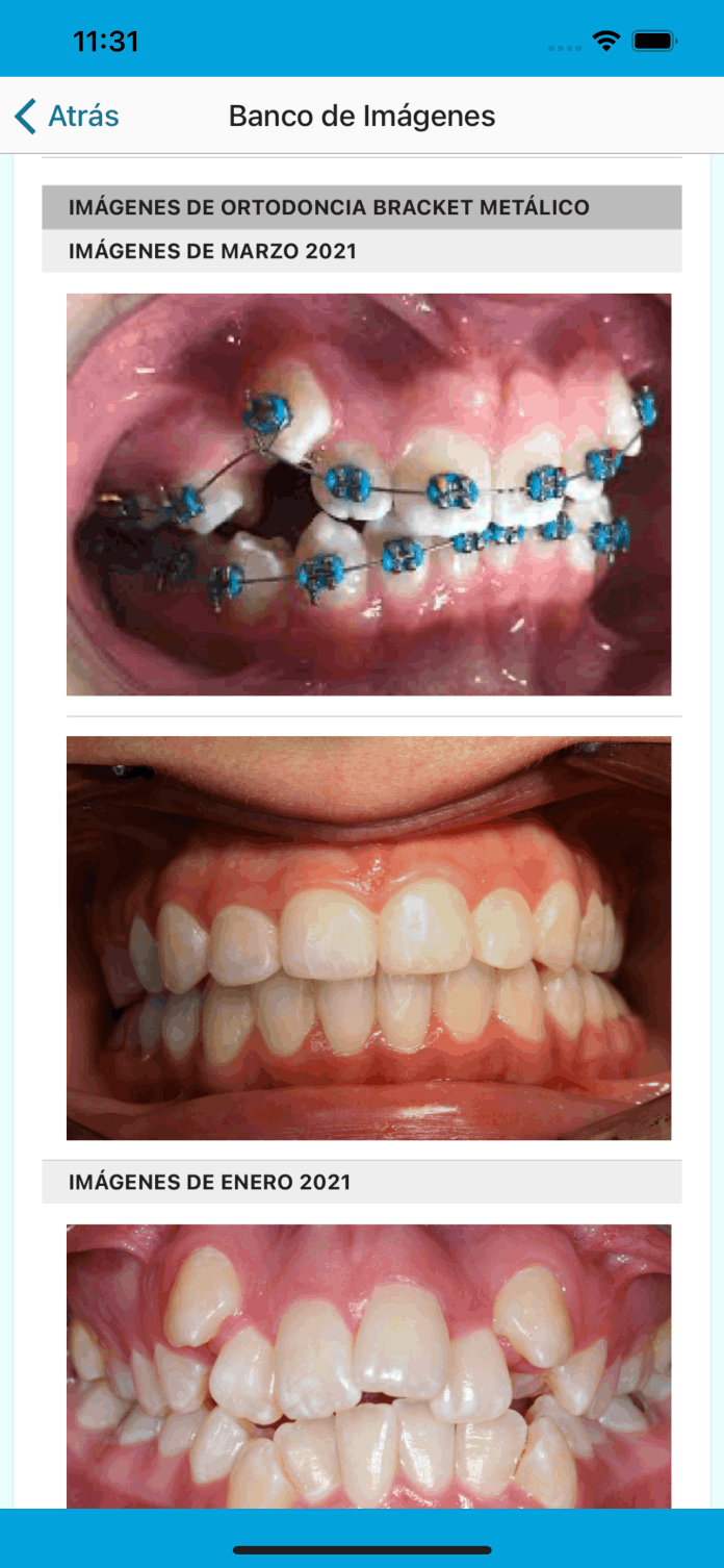
Banco de Imágenes

OdontaliX permite el almacenamiento ilimitado de imágenes (fotografías, radiografías, etc.) así como documentos en PDF por carpetas personalizadas en cada expediente del paciente.

Consulta Vademecum

Odontalix te permite la consulta de medicamentos en el Vademecum (herramienta externa).

Periodontograma

Con OdontaliX podrás crear Periodontogramas de manera fácil y rápida.

Recetas Digitales e impresas

Genera tus recetas personalizadas con un sólo clic, imprímelas directamente o envíalas digitalmente.

Expediente Móvil OdontaliX

Información del Paciente

Con la aplicación móvil Odontalix, tendrás acceso a todos los expedientes de tus pacientes.

Historia y Expediente Clínicos

Consulta historias y expedientes clínicos completos de todos tus pacientes.

Banco de Imágenes

Accede al banco de imágenes de cada paciente, desde la palma de tu mano.

© Copyright 2025 OdontaliX - Desppos. All Rights Reserved.